Soluciones Visuales
Examen Visual Completo (Graduación)
Ver bien es mucho más que llevar gafas adecuadas. En Carmenvisión, nuestro examen visual completo, también conocido como graduación de la vista, está diseñado para evaluar cada aspecto de tu salud ocular. Desde la precisión de tu visión para determinar si necesitas gafas o lentes de contacto, hasta la detección temprana de posibles problemas, nos aseguramos de cuidar de tus ojos con la máxima dedicación y tecnología avanzada.
Control de miopía
La miopía es un problema creciente que afecta a los más pequeños, pero no tiene por qué definir su futuro. En Carmenvisión, somos especialistas en el control de miopía, ofreciendo soluciones personalizadas para frenar su progresión y reducir los riesgos asociados. Descubre cómo proteger la visión de tus hijos con técnicas innovadoras y hábitos saludables.
Contactología Avanzada
Ver bien no es suficiente, necesitas sentirte cómodo en cada momento. En Carmenvisión, ofrecemos un servicio de Contactología Avanzada diseñado para proporcionarte la libertad de usar lentes de contacto adaptadas a tus necesidades específicas. Tanto si buscas comodidad para el día a día como soluciones para condiciones visuales más complejas, trabajamos con tecnología de vanguardia y un enfoque personalizado.
Lentes esclerales
¿Tienes problemas visuales complejos? Las lentes esclerales son una solución avanzada diseñada para ojos con córneas irregulares o condiciones oculares específicas. En Carmenvisión, somos especialistas en su adaptación, garantizando comodidad, hidratación y una visión clara en cada caso.
Orto -K
La ortoqueratología (Orto-K) es un tratamiento no quirúrgico que utiliza lentes de contacto especiales para remodelar la córnea mientras duermes. Estas lentes, también conocidas como lentillas pijama, corrigen temporalmente la miopía y el astigmatismo, ofreciéndote una visión clara y libre durante todo el día.
Terapia visual (Gym visual)
En ocasiones, las gafas o lentes de contacto no bastan para que nuestra visión funcione al 100%. La terapia visual, o Gym Visual como lo llamamos en Carmenvisión, es un entrenamiento personalizado diseñado para desarrollar y optimizar las capacidades visuales en niños, jóvenes y adultos.
Tensión ocular / Retinografía
La salud visual empieza por la prevención. En Carmenvisión utilizamos tecnología avanzada como la retinografía y el control de la tensión ocular para detectar a tiempo problemas que podrían comprometer tu visión. Estas pruebas son rápidas, indoloras y esenciales para mantener tus ojos sanos.
Baja Visión
La baja visión no significa renunciar a la calidad de vida. En Carmenvisión, trabajamos junto a los pacientes y sus familias para ofrecer soluciones personalizadas que optimicen la visión y mejoren el día a día. Desde herramientas innovadoras hasta estrategias adaptadas, estamos aquí para ayudarte a recuperar la confianza y la funcionalidad.
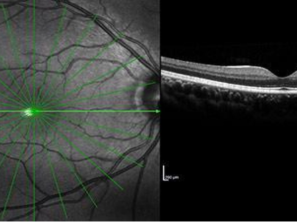
Tomografía de Coherencia Óptica (OCT)
La OCT es una técnica de diagnóstico por imagen avanzada, indolora y no invasiva que captura imágenes detalladas de las capas internas de la retina. Este análisis en profundidad permite:
- Evaluar la mácula y el nervio óptico.
- Detectar patologías de manera temprana.
- Realizar seguimientos precisos en pacientes con enfermedades oculares.
Tratamiento del Ojo Seco
El ojo seco no solo es una molestia, puede afectar seriamente tu calidad de vida. En Carmenvisión, diagnosticamos y tratamos esta condición con tecnología avanzada y un enfoque personalizado. Alivia los síntomas y mejora tu bienestar con nuestros tratamientos innovadores para ojo seco.
Nuestras lentes de contacto
- Progresivas
- De uso diario
- De uso prolongado
- Terapéuticas
- Cosméticas y de color.
- Para astigmatismo
- Queratoconos
- Para niños
- Adaptaciones post-cirugía
Protege tu visión con nosotros
¿Quieres ver bien? Pide cita previa con nosotros y te haremos un examen. Contamos con las últimas tecnologías para cuidar de tu salud visual.